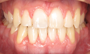
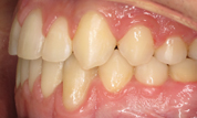
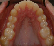
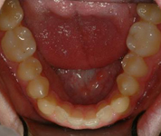
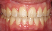
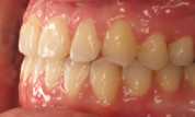
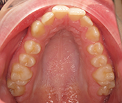
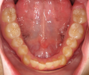
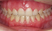
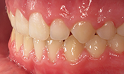
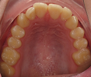
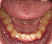
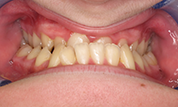
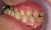
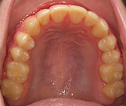
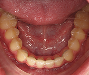
our Surgical Case Examples
Sample gallery of our typical Surgical Orthodontic case results.
*Actual patient results by Pawley Orthodontics

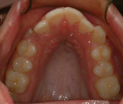
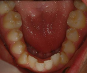
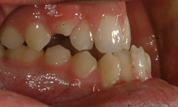
Before

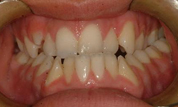
After









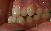
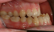
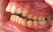
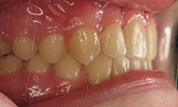
Patient 1 – Before









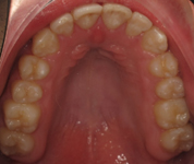
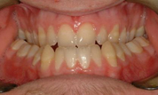
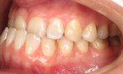
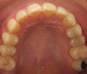
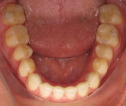
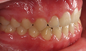
Patient 1 – After









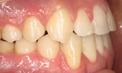
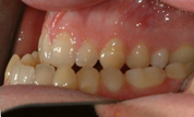
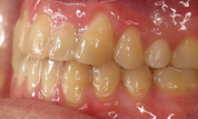
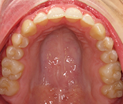
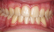
Patient 2 – Before









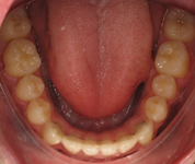
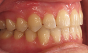
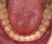
Patient 2 – After









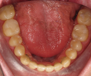
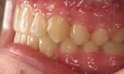
Patient 4 – Before









Patient 4 – After









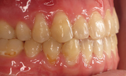
Patient 13d – Before









Patient 13d – After









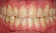
Patient 14d – Before









